Cabinet dentaire du Dr Caroline BECKER
Chirurgien-Dentiste à TOULON
46 Chemin du Pont de Bois, 83200 TOULON
+33 4 94 24 51 93
Cabinet dentaire du Dr Caroline BECKER
Chirurgien-Dentiste à TOULON

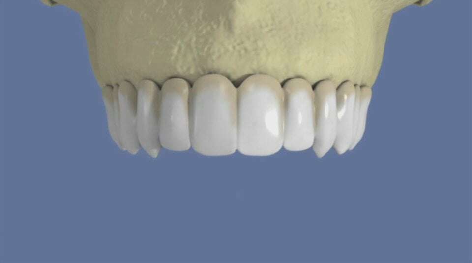
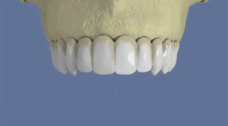
Maxillaire : bridge vissé sans fausse gencive


video-play-icon

Articles similaires

Création par Webdentiste

Connexion